لماذا تختار ابتسامة هوليوود لدينا؟
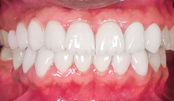
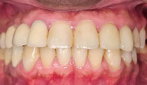
تعرّف على ابتسامات هوليوود
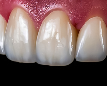
أفخم وأدق أنواع ابتسامة هوليوود مصنوع من البورسلين النقي مظهر طبيعي جدًا يشبه الأسنان الأصلية في الشفافية واللمعان
نوع متطور من عدسات الأسنان يُصنع من خزف الليثيوم ديسليكات المعروف بقوته العالية ولمعانه الطبيعي اقل شفافيه ويمتاز بمتانة عالية وجمالية
مكوّن من عدة طبقات (Multilayer) تحاكي تدرجات لون المينا الطبيعي. قوة ومتانة عالية بفضل مادة الإيماكس المتطورة مظهر طبيعي جدا مع تفاصيل تحاكي الأسنان الأصلية وشفافيه عالية.
قالب اسنان مؤقت عالي الجودة يُركّب فوق الأسنان الطبيعية ليمنح مظهر ابتسامة فورية جميلة يمكن إزالته بسهولة في أي وقت
الحل الأمثل لتغيير شكل ابتسامتك بالكامل!

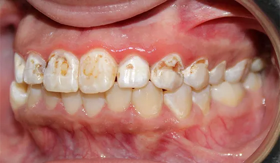
الأسنان المصفوفة بشكل غير منتظم أو وجود فراغات.
الأسنان المكسورة أو المشوهة جزئيًا.
التصبغات أو الأسنان الداكنة.
الرغبة في تحسين الابتسامة بشكل كامل لمناسبات خاصة أو صورة عامة مثالية.
اسمع رأي اللي جرّبونا!
